Penelitian terbaru menunjukkan bahwa kultur sel punca mesenkimal (MSCs) dalam kondisi oksigen rendah atau hipoksia dapat secara signifikan meningkatkan fungsi ovarium pada tikus yang mengalami kegagalan ovarium akibat kekurangan gizi. Temuan ini menunjukkan bahwa kondisi kekurangan oksigen dapat menjadi komponen kunci dalam pengobatan regeneratif untuk kesehatan reproduksi, terutama pada kondisi yang disebabkan oleh malnutrisi kronis.
Perlakuan Pada Hewan Coba
Dalam penelitian ini, tikus betina digunakan sebagai hewan coba untuk mengevaluasi efek terapi sel punca mesenkimal (MSCs) pada kegagalan ovarium. Sel punca ini diisolasi dari sumsum tulang dan dikultur dalam dua kondisi oksigen yang berbeda: kelompok T1 dikultur dalam kondisi hipoksia (kadar oksigen 1%), sedangkan kelompok T2 dikultur dalam kondisi normoksia (kadar oksigen 21%). Setelah empat hari proses kultur, sebanyak 200 juta MSCs dari masing-masing kelompok ditransplantasikan ke tikus betina dengan kegagalan ovarium. Setiap kelompok perlakuan terdiri dari 15 tikus.
Sebagai pembanding, dua kelompok kontrol disertakan. Kelompok kontrol positif (C+), yang terdiri dari 15 tikus subur, dan kelompok kontrol negatif (C−), yang terdiri dari 15 tikus infertil tanpa terapi MSCs. Penelitian ini bertujuan untuk mengamati kemampuan MSCs dalam memperbaiki jaringan ovarium dan fungsi reproduksi, dengan membandingkan efek kultur sel dalam kondisi oksigen rendah (hipoksia) dan normal (normoksia).
Peran Kondisi Hipoksia dalam Sel Punca
Kondisi oksigen rendah (hipoksia) yang ditemukan dalam mikroenvironmental sel punca alami berperan penting dalam mempertahankan pembaruan diri, kelangsungan hidup, dan proliferasi sel punca. Dalam studi ini, peneliti mengkultur MSCs dalam kondisi hipoksia (1% oksigen) dan mengamati perubahan signifikan dalam perilaku mereka dibandingkan dengan sel-sel yang dikultur dalam kondisi oksigen normal (21% oksigen). MSCs yang dikultur dalam hipoksia menunjukkan ukuran sel yang lebih besar, laju proliferasi yang lebih lambat, dan tingkat kematian sel yang lebih rendah. Hasil ini sesuai dengan penelitian sebelumnya yang menunjukkan bahwa hipoksia dapat menghambat penuaan sel, mendorong kelangsungan hidup dan stabilitas sel punca.

Pengurangan Apoptosis dalam Sel Punca
Salah satu temuan menarik dalam penelitian ini adalah pengurangan apoptosis (kematian sel terprogram) pada MSCs yang dikultur dalam kondisi hipoksia. Melalui penggunaan PCR waktu nyata dan imunohistokimia (IHC), peneliti menemukan peningkatan ekspresi HSP27, protein yang dikenal melindungi sel dari stres, serta penurunan ekspresi caspase-3, yang merupakan penanda apoptosis. Temuan ini penting karena menunjukkan bahwa MSCs yang dikultur dalam kondisi oksigen rendah lebih tahan terhadap kematian sel apoptosis, menciptakan lingkungan yang menguntungkan untuk terapi sel punca.
Penerapan Terapi Sel Punca pada Tikus dengan Kegagalan Ovarium
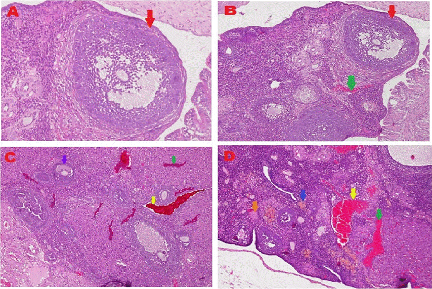
Studi ini juga memfokuskan pada penerapan MSCs yang dikultur dalam kondisi hipoksia untuk meningkatkan kesehatan ovarium pada tikus dengan kegagalan ovarium akibat kekurangan gizi. Peneliti menggunakan MSCs yang telah dikultur dalam kondisi oksigen rendah dan mengevaluasi hasil terapeutik berdasarkan beberapa parameter, termasuk regenerasi jaringan ovarium, peningkatan perkembangan folikel, dan peningkatan jumlah folikel Graafian yang sangat penting untuk kesuburan wanita.
Peran Faktor Pertumbuhan dalam Regenerasi Ovarium
Selain HSP70 dan caspase-3, studi ini juga memeriksa penanda lain seperti VEGF-1 (vascular endothelial growth factor) dan GDF-9 (growth differentiation factor 9). Kedua penanda ini penting untuk viabilitas sel dan diferensiasi, dan peningkatan ekspresi protein ini dalam kondisi hipoksia semakin mendukung potensi terapeutik MSCs dalam regenerasi ovarium. Hasil penelitian menunjukkan bahwa MSCs yang dikultur dalam kondisi oksigen rendah dapat meningkatkan regenerasi jaringan ovarium dan mendukung perkembangan folikel, yang esensial untuk reproduksi.

Lebih jauh lagi, penelitian ini mengungkapkan bahwa MSCs dapat membantu mengembalikan fungsi ovarium dengan merangsang produksi faktor pertumbuhan penting seperti GDF-9, yang memiliki peran vital dalam folikulogenesis dan kesuburan. MSCs dikenal karena sifat regeneratifnya, dan studi ini menunjukkan bahwa transplantasi sel punca dapat menjadi pilihan terapi yang efektif untuk masalah kesuburan yang disebabkan oleh kekurangan gizi kronis.Langkah Selanjutnya dalam Penelitian
Potensi Pengobatan di Masa Depan
Penelitian ini menunjukkan bahwa MSCs yang dikultur dalam kondisi hipoksia memiliki potensi sebagai terapi inovatif untuk kegagalan ovarium akibat malnutrisi. Meskipun penelitian ini menunjukkan potensi terapeutik MSCs yang dikultur dalam kondisi oksigen rendah, penelitian lebih lanjut melalui uji coba in vivo masih dibutuhkan untuk mengonfirmasi temuan ini dalam aplikasi dunia nyata. Peneliti menekankan pentingnya mengevaluasi hasil kesuburan, kadar hormon, dan siklus estrus dalam eksperimen lanjutan untuk memahami dampak penuh terapi sel punca terhadap regenerasi ovarium. Dengan meningkatkan penanda viabilitas dan diferensiasi sel, MSCs dapat menawarkan solusi menjanjikan dalam mengembalikan kesehatan reproduksi dan kesuburan pada individu yang terpengaruh. Studi lebih lanjut dan uji klinis akan sangat penting untuk menggali lebih dalam tentang pendekatan terapeutik ini dan mengkonfirmasi kemampuannya dalam pengobatan kondisi terkait kesuburan di masa depan.
Penulis: Ryan Adi Taufiqurrahman
Baca Artikel lengkap di Efficacy of mesenchymal stem cells cultured low oxygen tension ameliorates apoptotic inhibitors, viability, and differentiation of ovarian tissue: A study in a rat model with ovarian failure
